Nos Spécialités
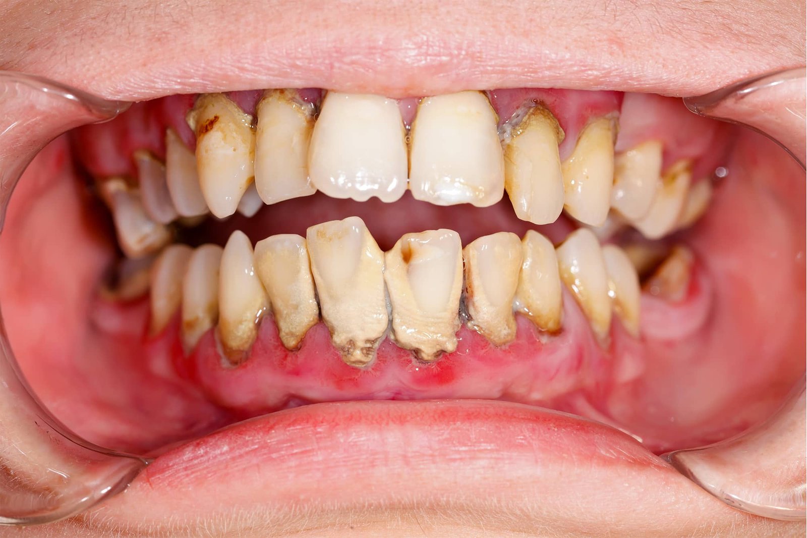
Parodontie
Spécialité consacrée à la prévention et au traitement des maladies des gencives et de l'os qui soutient les dents. Détartrage, traitement des gingivites et parodontites, chirurgie parodontale.
Qu'est-ce que la parodontie ?
La parodontie traite les tissus de soutien de la dent : gencive, os alvéolaire, cément et ligament parodontal. Des gencives saines sont essentielles pour conserver vos dents toute votre vie.
Signes d'alerte
Consultez rapidement si vous présentez ces symptômes :
- Saignement des gencives au brossage
- Gencives rouges, gonflées ou sensibles
- Mauvaise haleine persistante
- Déchaussement des dents
- Mobilité dentaire
Avantages de ce service
- Prévention de la perte dentaire
- Réduction de l'inflammation
- Traitement des infections
- Amélioration de la santé générale
- Techniques modernes et peu invasives
- Suivi personnalisé
